インプラントのことなら安城市の歯医者 せきれい歯科クリニック

ご予約・お問い合わせ

*

0566-73-4188

WEB予約

* *

麻酔認定医による全身管理

眠っている間に治療完了

静脈内鎮静法により“不安なく治療を受けられる環境”を整えています

*

インプラントご相談
専門医丁寧お答えします

* * * *

当院のインプラント
(オールオン4)の特徴

*

オールオン4は、最小4本のインプラントで片顎の歯列全体を支える治療法です。
従来のように多くのインプラントを並べる必要がなく、短期間で噛める状態に回復できる点が大きな特徴です。
せきれい歯科クリニックでは、骨の量・質・神経や血管の走行を精密に診断したうえで、日本口腔外科学会認定医が安全に配慮して施術を行います。
「歯がボロボロで噛めない」「入れ歯が合わない」といったお悩みを抱えている方に適した治療法です。

*

最小4本のインプラントで
片顎すべての歯を美しく、
確実に支えます

オールオン4は、最小4本のインプラントで片顎全体の歯を支える、全顎的インプラント治療の新しい選択肢です。
従来のように多本数の埋入を必要とせず、短期間で、美しく・しっかり噛める状態へ導くことができます。
せきれい歯科クリニックでは、日本口腔外科学会認定医が骨の形態や神経・血管の位置を精緻に診査し、患者さまの安全を第一に考えた治療計画をご提案いたします。
「入れ歯が合わない」「自然な見た目を取り戻したい」そんな願いに寄り添いながら、美しさと機能性を両立した仕上がりを大切にしています。

*

”1日で噛める”という価値
1Dayインプラントに対応

可能な症例においては、抜歯・インプラント埋入・仮歯の装着までを1日で完了する1Dayインプラントが選択できます。
歯がない期間をできる限り短くし、治療直後から「しっかり噛める」「自然に笑える」状態へ。
お仕事やご予定でお忙しい方にも喜ばれている治療法です。
さらに当院では、麻酔学会専門医が行う静脈内鎮静法をご用意。
ほとんど眠っているような、”時間が一瞬で過ぎるような感覚”で手術を終えられる方も多く、不安や恐怖心の強い患者さまにも安心してお受けいただけます。

*

身体的・経済的負担を
抑え、長く快適に使える
インプラント治療へ

オールオン4は、必要最小限のインプラント本数で治療できるため、従来の多数本埋入と比較して、身体的負担・治療期間・費用負担を大きく軽減することが可能です。
せきれい歯科クリニックではさらに、
・骨が少ない方にも対応可能なGBR・サイナスリフト
・専用個室での衛生的なオペ環境
・世界的シェアNo.1(ストローマン /ITI)インプラント採用
といった体制を整え、どなたにも”長く快適に使えるインプラント治療”を目指しています。
他院で「骨が足りない」と言われた方や、見た目・噛み心地に強いこだわりをお持ちの方にも、院長が責任を持って最適な治療をご提案いたします。

インプラント

*

オールオン4
(All-on-4)

*

Auro Galvano Crown
(AGC)

*

本数

失った歯1本につき1本のインプラントを埋入
片顎に4〜6本のインプラントで全ての歯を支える
片顎に4〜6本のインプラントで全ての歯を支える

対象

部分的な歯の欠損〜全ての歯の欠損まで幅広く対応
全ての歯が失われている、または歯抜が必要な重度歯周病に対応
全ての歯が失われている、または歯が薄い重度歯周病に対応

費用

失った歯の本数に応じて費用が増加
インプラント本数が少ないため、総額が比較的抑えられる
インプラント本数が少ないため、総額が比較的抑えられる

手術の複雑さ

1本ずつ埋入するため、移植処置が必要になる場合がある
移植処理が不要となるケースが多く、比較的シンプルな手術
移植処理が不要となるケースが多く、比較的シンプルな手術

治療期間

骨の回復を待つため、治療期間が必要
比較的短期間で治療が完了。即日仮歯装着が可能(適応症例)
比較的短期間で治療が完了。即日仮歯装着が可能(適応症例)

固定方法

1本ごとに単独で固定される
全ての歯をスクリューで固定。(ネジ止め)
全ての歯をスクリューで固定。必要に応じて修理が容易

安定性

自然な咬合力を再現でき、非常に安定
インプラントで歯列を支えるため、従来の入れ歯より高い安定性
インプラントで歯列を支え、従来の入れ歯より高い安定性

骨量の要件

埋入部位に十分な骨量が必要
斜め方向に埋入できるため、骨が少なくても対応可能(認定医の技術により)
斜め方向に埋入できるため、骨が少なくても対応可能

取り外し

取り外し不可(固定式)
スクリュー固定で着脱可能
(メンテナンス時)
基本は外れにくいが、歯科医院でのメンテ時に取り外し可能

メンテナンス

個別のインプラントを清掃しやすい
一体型の歯列を清掃するため、定期的な
メンテナンスが必要
一体型の歯列を清掃するため、定期的な
メンテナンスが必要

1Dayインプラントとは?

*
1Dayインプラントとは、その日のうちに噛む機能を回復できる先進的なインプラント治療のひとつです。
従来のインプラント治療では、抜歯後の治癒を待つために数ヶ月の期間を要し、その間は見た目や噛みづらさに大きなストレスを感じる患者さまも少なくありませんでした。
せきれい歯科クリニックでは、こうした患者さまのご負担を軽減するため、条件を満たす症例に対して「抜歯→インプラント埋入→仮歯装着」を同日に行う1Dayインプラント(即日負荷インプラント)を導入しています。 この治療の大きな魅力は、治療後すぐに”しっかり噛める”仮歯を装着できること。
見た目の改善だけでなく、食事を快適にとれるという生活の質(QOL)の向上にもつながります。
また当院では、麻酔学会専門医による静脈内鎮静法を併用しています。うとうとと眠っている間に治療が進むため、「手術が怖い」「緊張してしまう」という患者さまから多くの安心の声をいただいています。
より短い期間で、美しく自然な口元と噛む機能を回復したい方に大きなメリットをもたらす治療法です。
*

インプラントご相談
専門医丁寧お答えします

* * * *

このようなお悩みのある方に

1Dayインプラントは
適しています

  • 総入れ歯をご使用中で、噛みにくさや
    痛みがある方
  • 多くの歯を失っており、見た目や噛む
    機能を早く改善したい方
  • 歯周病で複数の歯がグラグラしている方
  • 入れ歯が合わず、日常生活に不便を感じ
    ている方
  • 全体的に美しく整った口元にしたい方
  • 固定式のしっかり噛める歯をできるだけ
    早く入れたい方
  • 治療回数を少なく、短期間で治療を終え
    たい方
  • できるだけ費用を抑えて全体の治療をし
    たい方

メリット

*
  • 体への負担を抑えた治療が可能

    オールオン4は、歯を支える骨が少ない方でも骨移植を行わず治療できる場合がある点が大きな利点です。
    骨の状態を精密に診断し、最適な角度でインプラントを埋入するため、手術時間も短縮され、全身への負担が軽く済む傾向があります。
    片顎4〜6本で歯列全体を支えるため、従来の多数本埋入と比較して体へのストレスを抑えられます。

  • 1日で「噛める」生活の回復が期待
    できる

    適応症例においては、手術当日に仮歯を装着し、噛める状態でお帰りいただけます。
    見た目の改善はもちろん、食事のしやすさという生活の質(QOL)を短時間で取り戻すことができます。
    歯周病で多くの歯がグラグラしている方でも、1日の治療で大きく生活が改善するケースがあります。

  • 手術当日に仮歯を固定できるため安心

    手術後すぐに仮歯を固定できるため、「歯がない状態で過ごす期間」がありません。
    そのため術後の見た目の不安を感じる必要がなく、仕事や外出にも支障が出ません。
    仮歯での生活に慣れていただいた後、2〜6ヶ月ほどで最終的な人工歯へ交換します。

デメリット

*
  • 外科的処置が必要になる

    オールオン4は外科治療を伴うため、内科疾患(糖尿病・高血圧・心疾患など)がある方は術前に適切なコントロールが必要です。
    ただし、せきれい歯科クリニックでは麻酔学会専門医による静脈内鎮静法にも対応しており、「眠っているような感覚」で手術を受けていただけます。
    痛みや不安を最小限に抑えたい方にも安心の体制を整えています。

  • 自費診療のため費用負担が大きい

    インプラント治療は保険適用外のため、ブリッジや入れ歯に比べ費用が高くなる場合があります。
    ただし、オールオン4は少ない本数で治療できるため、従来の全顎インプラント治療よりも総額を抑えられるという利点もあります。
    また、医療費控除の対象となることもあり、適切に申告することで負担を軽減できる場合があります。

せきれい歯科クリニックの
インプラント治療

*
01

歯科用CTによる精密な診断

インプラント治療で最も重要なのは、骨の状態・神経や血管の位置を正確に把握できているかという点です。
せきれい歯科クリニックでは、三次元で骨の厚み・形状・密度を確認できる高性能歯科用CTを用いて詳細に分析。
安全性を最優先に、患者さまごとに最適な埋入位置・角度を設計します。CTによる精密診断に基づき、治療前から治療後まで見える安心をご提供しています。

*
02

身体への負担を抑えた治療方法

当院では、ガイドシステムを併用した安全性の高いインプラント治療を行っています。
事前にCTデータをもとに治療計画を立て、必要最小限の切開で行えるため、術後の腫れや痛みを抑えられるのが特徴です。
また、骨の状態に応じてGBR法(骨再生治療)やサイナスリフトも対応可能。
認定医の技術により、骨の少ない方でもインプラント治療を可能にする選択肢を広げています。

*
03

日本口腔外科学会認定医が担当

難症例にも対応可能。
せきれい歯科クリニックの院長は、日本口腔外科学会認定医の資格を持ち、これまで200本以上のインプラント治療を行ってきました。豊富な経験と外科的知識を活かし、
・骨が薄い
・他院で断られた
・歯周病が進行している
といった難症例にも対応可能です。
「インプラントは無理かもしれない」と言われた方も、
一度ご相談ください。

*
04

安心して長く使える保証制度

当院のインプラント治療には、万が一の際に備えた5年保証を導入しています。
適切なメンテナンスを受けていただくことで長く快適に使える状態を保ちやすくなります。
当院ではITI(ストローマン)インプラントを採用しており、生体親和性・耐久性ともに世界トップレベル。
長期間にわたり、美しく安定した口腔環境を維持できます。

*

インプラントご相談
専門医丁寧お答えします

* * * *

金額表

治療内容
費用(税込)
月々の支払い例
分割回数

オールオン4
(片顎)

¥3,000,000
¥35,000/月〜
84回
治療内容
費用(税込)
月々の支払い例
分割回数

インプラント
1本

¥400,000
¥4,761/月〜
84回

治療費用について

当院では、患者さまのご負担をできるだけ抑えながら、長く安心してお使いいただける
インプラント治療をご提供しています。分割払い(84回)にも対応しております。

分割金額はデンタルローンご利用時の一例です。
金利・審査結果により月々の金額は変動する場合があります。
治療内容により別途費用が発生する場合がございます。
詳細はカウンセリング時に丁寧にご説明いたします。

治療の流れ

*

カウンセリング・精密検査

まずはお悩みやご希望を時間をかけてお伺いし、レントゲン・CT・歯周病検査・噛み合わせのチェックなど精密検査を行います。
オールオン4が本当に適しているかどうかを確認し、現在のお口の状態を分かりやすくご説明します。

*

治療計画のご説明

検査結果をもとに、治療方法・期間・費用・麻酔方法などを丁寧にご説明します。オールオン4以外の選択肢も含めて比較しながらお話しし、無理に治療を勧めることはありません。
治療内容と費用にご納得いただいた場合にのみ、契約や支払いの流れをご案内します。

*

手術・仮歯の装着(静脈内鎮静法対応)

麻酔認定医による静脈内鎮静法を併用し、ほとんど眠っているような状態でインプラントを4本埋入します。その日のうちに仮歯を固定し、見た目と噛む機能を回復させてからお帰りいただきます。
術後の腫れや痛みが出る場合もありますが、多くはお薬でコントロール可能です

*

最終的な義歯の装着

インプラントと骨がしっかり結合したことを確認したうえで、最終的な義歯を製作します。噛み合わせや歯の色・形を細かく調整し、自然で美しく、しっかり噛める状態に仕上げていきます。
ネジで着脱できる構造のため、将来の修理や調整にも対応しやすい設計です。

*

メンテナンス・定期検診

長く快適にお使いいただくためには、治療後のメンテナンスがとても大切です。専門的なクリーニングや噛み合わせのチェックを定期的に行い、インプラント周囲炎やトラブルを早期に防ぎます。
ご自宅でのセルフケア方法もお一人おひとりに合わせてお伝えします。

*

インプラントご相談
専門医丁寧お答えします

* * * *

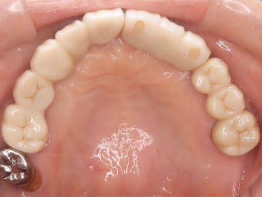
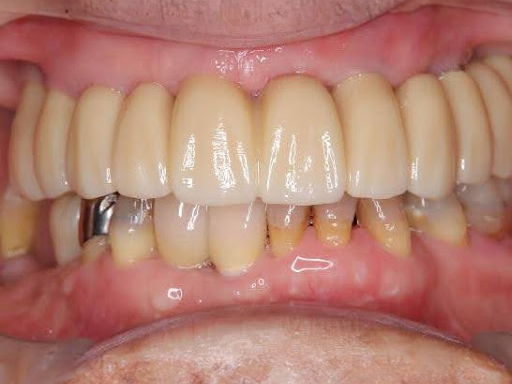
ビフォーアフター

case.1

Before
*
After
*
主訴
まったく噛めない。
口の中がボロボロになり、お口の全体的な咬み合わせ、審美性の治療をしたいと来院されました。
年齢・性別
60代 女性
治療内容
フルマウス治療として処置。インプラント、セラミック治療、歯周外科治療を行いました。
また、顎関節の安定を図るためにマウスピースを使用しました。
治療期間
3年半
費用
500万
副作用
・リスク
土台の歯を削らなくてはならず、場合によっては沁みたりする可能性があります。
また、神経のない歯には適用できないことがあります。

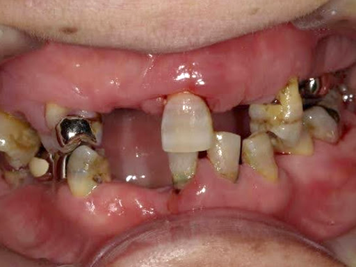
case.2

Before
*
After
*
主訴
まったく噛めない。
口の中がボロボロになり、お口の全体的な咬み合わせ、審美性の治療をしたいと来院されました。
年齢・性別
50代 女性
治療内容
フルマウス治療として処置。インプラント、セラミック治療、歯周外科治療を行いました。 また、顎関節の安定を図るためにマウスピースを使用しました。
治療期間
3年半
費用
500万
副作用
・リスク
土台の歯を削らなくてはならず、場合によっては沁みたりする可能性があります。
また、神経のない歯には適用できないことがあります。

よくあるご質問

Q

手術の痛みはありますか?

A

インプラント手術では局所麻酔を使用するため、手術中の痛みはほとんどありません。さらに当院では、麻酔学会認定の麻酔医による静脈内鎮静法(点滴麻酔)にも対応しており、“眠っている間に治療が完了する”ため、緊張や不安の強い方も安心して受けていただけます。

Q

手術後は腫れますか?日常生活に支障はありますか?

A

腫れや痛みは2〜3日がピークで、ほとんどはお薬でコントロールできます。
翌日から普段通りの生活が可能な方も多いです。

Q

骨が少ないと言われたのですが、インプラントできますか?

A

骨造成などの治療を併用することで対応できるケースがあります。
他院で断られた方も、まずはご相談ください。

Q

通院回数はどれくらい必要ですか?

A

治療内容によりますが、目安は5〜8回程度です。
できるだけ通院回数を抑えた計画を立てています。

Q

インプラント治療に年齢制限はありますか?

A

年齢の上限はありません。
全身状態やお口の状況を確認した上で判断します。

Q

追加費用はかかりますか?

A

事前にご説明した費用以上に、追加費用がかかることは基本的にありません。
必要な場合は必ず事前にご説明します。

Q

医療費控除は受けられますか?

A

インプラント治療は医療費控除の対象です。
確定申告により税金が還付される可能性があります。

Q

インプラントはどのくらいもちますか?

A

適切な治療とメンテナンスで10年以上使えることも多いです。
定期管理が長持ちのポイントです。

*

インプラントご相談
専門医丁寧お答えします

* * * *